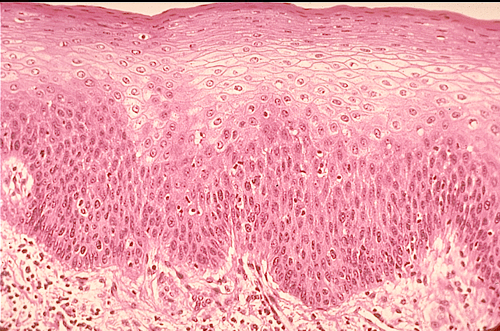
Keratinized Stratified Squamous Epithelium Slide
While not commonly encountered in routine surgical pathology practice these cysts are a.

Keratinized stratified squamous epithelium slide. Epithelium p o i l i e m is one of the four basic types of animal tissue along with connective tissue muscle tissue and nervous tissue. A simple cuboidal epithelium consists of a single layer of cells of similar height and width. Limited distribution but often found in the. Anat d502 basic histology epithelial tissue pre lab revised 9612.
Be able to classify epithelial tissues by cell shape cell stratification. A pulmonary alveolus plural. Alveoli from latin alveolus little cavity is a hollow cavity found in the lung parenchyma and is the basic unit of ventilation. The histology of the entire gastrointestinal tract is largely the histology of epithelial tissues.
Click here for a basic introduction to epithelial tissue. Epidermoid and dermoid cysts are common surgical specimens sent for histopathological analysis. Dermoid cysts are usually congenital a type of choristoma ie. A stratified epithelium is classified according to the shape of the cells on its free or luminal surface.
The surface cells of a stratified cuboidal epithelium are. This article discusses the common benign cysts found in the vagina and vulva.






































