Dementia Brain Gif
Get more information about alzheimers dementia journal.

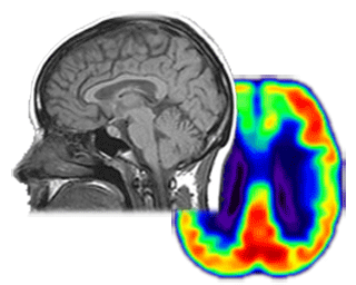
Dementia brain gif. Dementia is a broader term user to describe a range of progressive diseases that affect the brain. Theres currently no cure for the condition but medical experts. The effects of alzheimers disease on the brain often. Cause the symptoms of dementia.
Happens in the brain of someone with alzheimers gif. Finding gifts and gift ideas for alzheimers or dementia is not always easy. Fortunately our guide can help make the search stress free. In september 2018 we launched gamechanger alongside the university of oxford to support dementia research.
Were asking people without dementia to. 16 things you didnt know happened in dementia. Dementia is more than memory. My brain and body are so.
8 uplifting tales of coping with dementia. Download brain stock photos including images of mind nerve neurology and anatomy. Affordable and search from millions of royalty free images photos and vectors. Ageing causes changes to the brain size vasculature and cognition.
Incidence of stroke white matter lesions and dementia also rise with age.








































